Complications of Gum Disease
The complications of Gum Disease extend beyond the mouth, affecting not only the gums and teeth but also potentially contributing to systemic health problems. If left untreated, the complications of Gum Disease may include tooth loss, bone damage, and increased risks for conditions such as heart disease and diabetes.
Gum Disease progresses gradually from gingivitis to periodontitis, and the damage it causes becomes more difficult to reverse with time. Understanding its possible consequences is essential for motivating early intervention and long-term care.
1. Tooth Loss
One of the most visible and distressing complications is the loss of teeth:
As Gum Disease progresses, the gums pull away from the teeth, forming deep pockets
These pockets become reservoirs for bacteria, leading to bone deterioration
Eventually, teeth may become loose and fall out, or require extraction
Tooth loss not only affects appearance but also:
Impairs chewing and digestion
Reduces self-confidence
Affects speech
Tooth replacement with dentures or implants becomes costly and invasive.
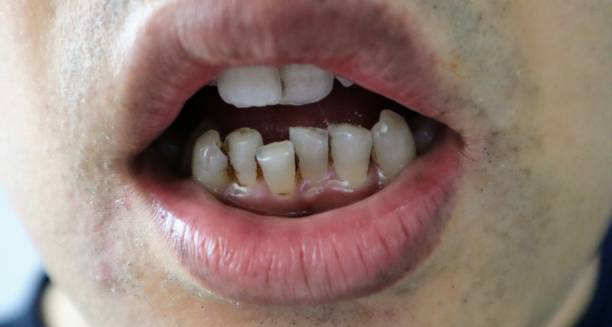
2. Gum Recession
Gum Disease causes the gums to pull back from the teeth:
Exposes the tooth roots, leading to sensitivity to heat and cold
Creates an aesthetic issue, especially when front teeth are affected
Makes teeth more susceptible to decay and damage
Gum grafts may be required to restore the appearance and protect exposed areas.
3. Jawbone Damage
As periodontitis advances, it attacks the alveolar bone—the part of the jaw that anchors teeth:
Results in bone resorption, reducing support for the teeth
Can change the shape of the jawline, especially if multiple teeth are lost
May complicate future dental treatments such as implants or orthodontics
Bone grafting may be needed in severe cases to rebuild lost structure.
4. Abscesses and Infections
When bacteria become trapped in deep pockets or around damaged tissue, periodontal abscesses can form:
Painful swelling filled with pus
Causes throbbing pain, redness, and tenderness
May result in fever and general illness if the infection spreads
These abscesses require drainage and antibiotics and can worsen overall oral health rapidly.
5. Halitosis (Chronic Bad Breath)
Persistent bad breath is a common social and psychological complication:
Caused by the breakdown of food particles and bacterial activity in gum pockets
May persist even after brushing
Affects confidence, relationships, and mental wellbeing
Treating the underlying Gum Disease is often the only long-term solution.
6. Impact on Dental Work
Gum Disease compromises the success of:
Fillings and crowns – due to loss of supportive structures
Braces or aligners – as shifting teeth with unstable foundations can worsen alignment
Dental implants – which require healthy bone and gum support
Untreated Gum Disease may limit options for restorative and cosmetic dentistry.
7. Systemic Health Complications
Growing research links Gum Disease to broader health problems:
a. Cardiovascular Disease
Inflammatory bacteria from the mouth may enter the bloodstream
Can contribute to atherosclerosis, stroke, or heart attacks
Higher risk in those with poor oral hygiene
b. Diabetes
Gum Disease increases insulin resistance, making diabetes harder to control
People with diabetes are also more prone to Gum Disease—creating a two-way relationship
c. Pregnancy Complications
Linked to low birth weight, preterm delivery, and preeclampsia
Pregnant women with periodontitis are advised to seek early dental care
d. Respiratory Infections
Bacteria from the mouth may be inhaled into the lungs
Increases risk of pneumonia, especially in older adults or hospitalised patients
Maintaining good oral hygiene is now considered part of protecting general health.
8. Psychological and Quality of Life Issues
Advanced Gum Disease can:
Affect appearance and self-esteem
Cause social embarrassment due to bad breath or visible gum problems
Lead to dietary changes, as chewing becomes painful or difficult
Increase risk of isolation and depression
Early management helps prevent these wider impacts on wellbeing.
9. Financial and Time Costs
Left untreated, Gum Disease can lead to:
Expensive dental repairs
Multiple surgeries
Extended treatment plans lasting months or years
Preventive care is more cost-effective and less invasive than managing advanced disease.
Conclusion | Complications of Gum Disease
The complications of Gum Disease can be far-reaching, affecting oral, physical, and emotional health. From tooth loss and bone destruction to systemic illnesses like heart disease and diabetes, the long-term consequences of neglecting gum health are significant. Recognising the complications of Gum Disease underscores the importance of early detection, regular dental care, and daily oral hygiene to maintain a healthy smile and a healthier life.


