Diagnosis and Evaluation of Brain Aneurysm
The diagnosis and evaluation of brain aneurysm are crucial for timely treatment and prevention of rupture. Doctors often find unruptured aneurysms by chance during brain scans. When symptoms do appear, they usually mimic other neurological problems. The diagnosis require a careful and structured approach involving both imaging and clinical assessment.
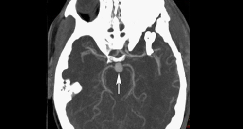
4 Common Methods of Diagnosis and Evaluation of Brain Aneurysm
1. Clinical signs and symptoms
When an aneurysm ruptures, it causes a sudden, severe headache often described as the worst ever experienced. Other signs include nausea, vomiting, loss of consciousness, and neck stiffness. Unruptured aneurysms may cause headaches, blurred vision, or nerve pain.
2. Imaging techniques
- CT scan: A fast and effective way to detect bleeding in the brain. CT angiography (CTA) can also visualise the blood vessels.
- MRI and MRA: Provide detailed views of brain tissue and blood vessels without radiation. MRA (Magnetic Resonance Angiography) is used specifically to locate aneurysms.
- Cerebral angiography: Considered the gold standard for confirming aneurysm size and shape. A catheter is inserted through the groin and guided to the brain to inject contrast dye for X-ray imaging.
3. Lumbar puncture
If a rupture is suspected but CT is negative, a spinal tap can detect blood in the cerebrospinal fluid — an important step in diagnosis.
4. Genetic testing
In cases where multiple family members are affected, or connective tissue disorders are suspected, genetic screening may be advised.
In South Africa, the diagnosis are most accessible in urban centres. Delays may occur in rural settings due to lack of advanced imaging, making it essential for primary care providers to recognise warning signs and refer quickly.
Diagnosis and Evaluation of Brain Aneurysm
Accurate evaluation allow doctors to choose the safest treatment method — whether it be surgical, endovascular, or conservative management.
👉 [Next: Treatment Options for Brain Aneurysm]


