Diagnosis of Angina
Diagnosing angina involves evaluating chest pain symptoms, checking for underlying heart problems, and ruling out other causes like indigestion, muscle strain, or anxiety. Read more about the diagnosis of angina below.
Step 1: Medical History and Symptoms
Doctors will ask:
- What triggers the pain?
- How long does it last?
- Does it improve with rest?
- Does it radiate to your arm, jaw, or back?
- Do you feel short of breath, light-headed, or nauseous?
Step 2: Physical Examination
- Check for signs of heart disease
- Doctors will measure blood pressure, heart rate, and oxygen levels
Step 3: Tests During the Diagnosis of Angina
- Electrocardiogram (ECG)
- Detects abnormal heart rhythms or signs of past heart damage
- Stress Test
- Doctors use exercise or medication to increase the heart rate while monitoring ECG readings and symptoms
- Echocardiogram
- Ultrasound of the heart to assess pumping function and valve health
- Blood Tests
- Doctors check cholesterol, blood sugar, and signs of heart damage (e.g., troponin if they suspect a heart attack)
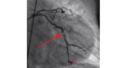
- Coronary Angiography
- Doctors inject a dye into the coronary arteries and take X-rays to identify blockages
- CT Coronary Angiogram
- A non-invasive scan to visualise the arteries
Early diagnosis is crucial to prevent heart attacks and long-term damage. If doctors suspect angina, timely testing and treatment can save lives.
👉 [Next: Treatment for Angina]


