Diagnosis of Aspergillosis
Diagnosis of aspergillosis involves evaluating symptoms, lung imaging, lab tests, and fungal cultures. The approach differs depending on the type of aspergillosis.
1. Medical History and Symptoms
- Cough, chest pain, weight loss
- History of TB, asthma, or lung cavities
- Recent hospitalisation or immunosuppressive therapy
2. Imaging Tests
- Chest X-ray: May show cavities, fungal balls, or infiltrates
- CT scan: More sensitive; can reveal aspergillomas, nodules, or halo signs (in invasive cases)
3. Laboratory Tests
- Sputum culture: May identify Aspergillus species
- Serum galactomannan test: Detects fungal components in blood
- Aspergillus IgE and IgG tests: Used to confirm ABPA or CPA
- PCR tests: Detect fungal DNA in blood or tissue
4. Bronchoscopy
- Involves inserting a flexible camera into the lungs
- Collects fluid and tissue samples for biopsy and fungal staining
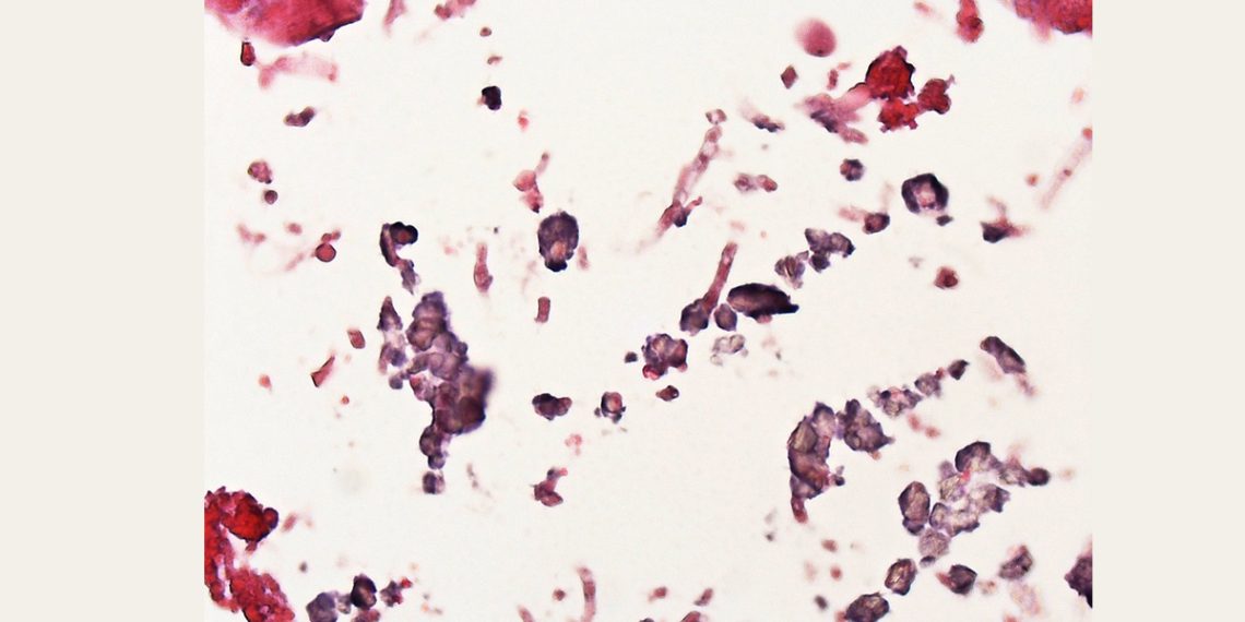
5. Histopathology
- Invasive aspergillosis may require tissue biopsy to confirm fungal invasion
In South Africa, testing is often done in referral hospitals or private laboratories. Access to galactomannan or PCR testing is improving but may be limited in some regions.
Early diagnosis is critical, especially in immunocompromised patients, where delayed treatment can be fatal.
👉 [Next: Treatment for Aspergillosis]
Complications of Athlete’s Foot
Causes and Risk Factors of Aspergillosis


