Diagnosis of Chest Infection
Diagnosis of chest infection involves a detailed medical history, physical examination, and sometimes imaging or lab tests. Determining the cause and severity of the chest infection helps guide treatment — especially when deciding between home care and hospital admission.
1. Medical History
The doctor will ask about:
- Onset and duration of symptoms
- Type of cough and mucus
- Fever, chills, or chest pain
- Pre-existing medical conditions like asthma, COPD, or diabetes
- Exposure to contagious individuals
2. Physical Examination
During the exam, the doctor will:
- Listen to the lungs with a stethoscope
- Look for crackles, wheezing, or reduced breath sounds
- Check for signs of respiratory distress, such as rapid breathing or low oxygen levels
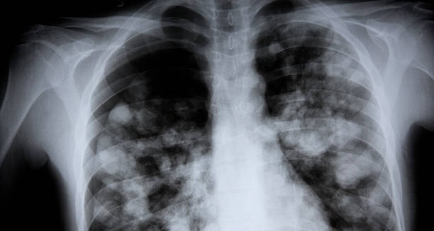
3. Chest X-Ray | Diagnosis of Chest Infection
A chest X-ray is often used to detect pneumonia and differentiate it from bronchitis or other lung conditions. Pneumonia appears as areas of opacity or consolidation on the scan.
4. Blood Tests
- Full blood count (FBC): Looks for elevated white blood cells
- CRP or ESR: Measures inflammation in the body
- Blood cultures: May be taken if sepsis is suspected
These tests help assess the severity and likely cause (bacterial or viral) of the infection.
5. Sputum Tests
If a productive cough is present, a sputum sample can be collected and analysed to identify the organism causing the infection and determine its sensitivity to antibiotics.
6. Pulse Oximetry and Arterial Blood Gases
To assess oxygen levels in the blood, especially if breathlessness is a major symptom. Low oxygen saturation may suggest a more serious infection requiring oxygen therapy.
A thorough diagnosis of chest infection allows doctors to tailor treatment and avoid unnecessary antibiotics, which are ineffective against viral infections.
[Next: Treatment of Chest Infection →]


