Diagnosis of Chronic Obstructive Pulmonary Disease
Diagnosis of chronic obstructive pulmonary disease involves evaluating medical history, assessing symptoms, and conducting specific lung function tests. Because this disease shares symptoms with other respiratory conditions like asthma or heart failure, a thorough evaluation is essential for an accurate diagnosis.
1. Medical History and Physical Examination
The first step involves reviewing the patient’s history of smoking, exposure to occupational dust or fumes, and frequency of respiratory infections. A physical exam may reveal signs such as wheezing, prolonged expiration, or reduced breath sounds.
2. Spirometry (Lung Function Test)
Spirometry is the gold standard for diagnosing COPD. The test measures how much air a person can breathe out in one second (FEV1) and the total amount exhaled (FVC). A reduced FEV1/FVC ratio (below 70%) confirms airflow limitation characteristic of COPD.
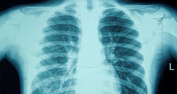
3. Chest X-Ray or CT Scan | Diagnosis of Chronic Obstructive Pulmonary Disease
Imaging tests can rule out other conditions like lung cancer, tuberculosis, or heart disease. They may show lung overinflation, flattened diaphragms, or enlarged air spaces typical of emphysema.
4. Arterial Blood Gas Analysis
In advanced COPD or during exacerbations, blood tests may be done to measure oxygen and carbon dioxide levels. Low oxygen and high CO₂ levels suggest severe disease and guide oxygen therapy decisions.
5. Alpha-1 Antitrypsin Deficiency Test
If COPD is diagnosed in a person under 45 or without a smoking history, this blood test may be ordered to check for inherited enzyme deficiencies that cause early-onset lung damage.
6. Six-Minute Walk Test | Diagnosis of Chronic Obstructive Pulmonary Disease
This assesses the functional impact of COPD by measuring how far a person can walk in six minutes. It also helps determine if supplemental oxygen is needed during exertion.
7. Blood and Sputum Tests
These tests may help rule out infection or other underlying diseases. Sputum cultures can detect bacterial causes of chronic bronchitis or infections during flare-ups.
An early and accurate diagnosis allows for effective treatment planning. Once diagnosed, the disease is staged according to severity, guiding interventions and monitoring over time.
[Next: Treatment of Chronic Obstructive Pulmonary Disease →]


