Causes of Chiari Malformation Developmental abnormalities primarily cause...
Symptoms of Chiari Malformation Symptoms of Chiari malformation...
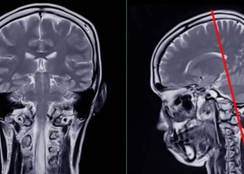
Diagnosis of Chiari Malformation Diagnosis of Chiari malformation...
Treatment of Chiari Malformation Treatment of Chiari malformation...
Complications and Recovery from Chiari Malformation Complications and...