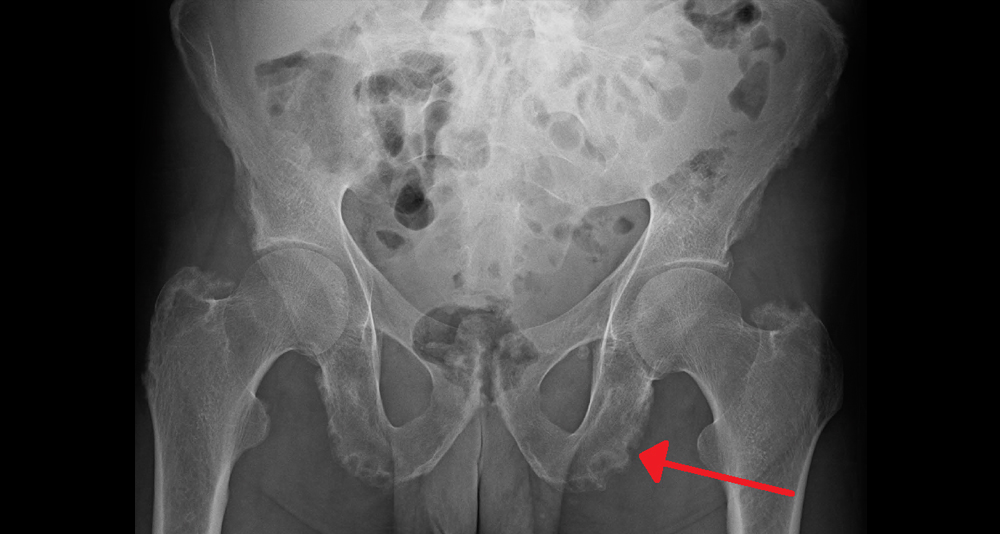
Causes of a Broken Pelvis
Causes of a Broken Pelvis typically involve high-impact trauma or weakened bone structure. The most common causes of a broken pelvis include road accidents, falls from height, sports injuries, osteoporosis, and crushing incidents. Identifying the cause is crucial for both emergency treatment and future prevention.
Motor vehicle collisions are the leading cause of pelvic fractures. In severe crashes, the force transmitted through the dashboard, seatbelt, or impact with external objects can compress the pelvis and cause multiple breaks. Cyclists and motorcyclists are particularly vulnerable due to limited protection.
Falls from height — such as ladders, scaffolding, or stairs — are another major contributor. When a person lands on their feet or buttocks from a height, the energy travels through the legs and into the pelvis, potentially causing compression fractures.
Older adults with osteoporosis are at high risk of pelvic fractures from even minor falls. This is because reduced bone density makes the pelvis more fragile and susceptible to breaks from low-energy impacts, such as tripping over a rug or slipping on wet tiles.
Causes of a Broken Pelvis
Industrial or workplace accidents can result in crushing injuries to the pelvis, particularly in environments involving heavy machinery, forklifts, or structural collapses. These incidents are often medical emergencies and may involve bleeding or organ damage.
Contact sports and extreme sports can also cause pelvic injuries, particularly in scenarios involving high-speed collisions, falls, or repetitive impact to the hips and lower spine. Horse riding, rugby, and gymnastics carry notable risk.
Less commonly, pathological conditions such as cancer that has spread to the bones can weaken the pelvic ring, making it prone to fractures during normal activity.
Understanding the causes of a broken pelvis helps guide not only treatment, but also important prevention strategies — including safety training, fall-prevention for the elderly, bone health screening, and use of protective gear during high-risk activities.
[Next: Symptoms of a Broken Pelvis →]


