Diagnosis and Treatment of Acute Lymphoblastic Leukaemia
Diagnosis
Diagnosing ALL involves several tests:
- Blood Tests
- Full blood count (FBC) showing abnormal lymphocytes, low platelets, and anaemia
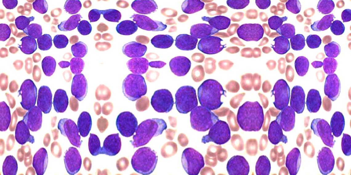
- Peripheral blood smear
- Bone Marrow Biopsy
- Confirms diagnosis by checking for blast cells in marrow
- Lumbar Puncture
- Assesses if the central nervous system is affected
- Genetic Testing
- Identifies specific mutations (e.g. Philadelphia chromosome) that affect treatment options
In South Africa, most tertiary hospitals can perform these tests. Delays can occur in rural or under-resourced clinics.
Treatment
Treatment depends on age, health status, and genetic factors.
1. Chemotherapy
- The main treatment; lasts 2–3 years
- Initial “induction” phase aims to bring about remission
- Followed by consolidation and maintenance therapy
2. Targeted Therapy
- For patients with specific gene mutations (e.g. tyrosine kinase inhibitors)
3. Stem Cell Transplant
- For high-risk or relapsed cases
- Requires compatible donor
4. Supportive Care
- Blood transfusions
- Antibiotics
- Nutritional support
- Psychological care
Paediatric cancer units in Cape Town, Johannesburg, and Durban offer world-class care. NGOs and state-private partnerships play a vital role in funding and support.
🔹 Next → [Complications and Recovery Outlook]
Diagnosis of Chronic Myeloid Leukaemia


