Symptoms and Early Warning Signs of ARDS
ARDS typically develops within hours to a few days of the triggering event. The symptoms worsen rapidly and are always considered a medical emergency.
Main Symptoms
- Severe shortness of breath (even at rest)
- Rapid breathing
- Low blood oxygen levels (hypoxaemia)
- Bluish skin, lips, or nails (cyanosis)
- Coughing – may or may not produce mucus
- Extreme fatigue and confusion
- Low blood pressure in later stages
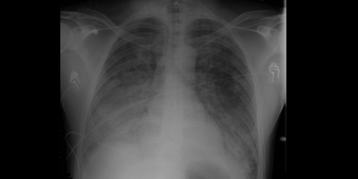
Hospital Indicators
In hospitalised patients, ARDS is often detected by:
- Oxygen saturation dropping below 90%
- Chest X-rays showing “white-out” appearance of fluid-filled lungs
- Rising respiratory rate (>30 breaths per minute)
In South African clinics, the presence of rapid breathing, confusion, and low oxygen saturation on a pulse oximeter should trigger referral to higher care.
Symptoms and Early Warning Signs of ARDS
Special Considerations
- In children, watch for rapid chest movement and nasal flaring
- In COVID-19 cases, ARDS often presents after 7–10 days of illness
- TB or HIV-positive patients may develop ARDS from secondary infections
🔹 Next → [Diagnosis and Treatment of ARDS]
The “Should I Be Worried?” Feeling: Depression Warning Signs
Causes and Risk Factors of ARDS


